Treatment and prevention
At our clinic, we believe that prevention is the cornerstone of lifelong oral health. Through regular check-ups, professional oral hygiene, and personalized care, we help our patients maintain healthy teeth and gums while avoiding future complications. When treatment is needed, we offer comprehensive services – from the early management of caries and aesthetic dental restorations to advanced procedures like the treatment of pulpitis and periodontitis. For complex cases, we perform dental treatments under a microscope to ensure precision and long-lasting results. If tooth removal becomes necessary, we ensure it is done gently and safely, with a focus on your comfort and recovery. We also offer cosmetic enhancements such as teeth whitening to help you achieve a bright, confident smile. Whether you’re here for prevention, treatment, or aesthetic care, our goal is to restore and protect your smile with the highest standard of dentistry.
Qualitatively means beautiful and lasting
Caries is one of the most common diseases on earth, which affects about 95% of the population. This can be caused by many different factors.
The cause of caries are microorganisms present in the hard tissues of the tooth and their metabolic products. In the human oral cavity there is a very large number of microorganisms that multiply very quickly. Even if the teeth are thoroughly cleaned, their number can reach a million in 2-4 hours.
There are conditions that contribute to the development of caries, these are:
- Hereditary predisposition
- The nature of nutrition – features of deficiency of micronutrients, proteins and vitamins
- Gastrointestinal diseases
- Diabetes
- Low immunity
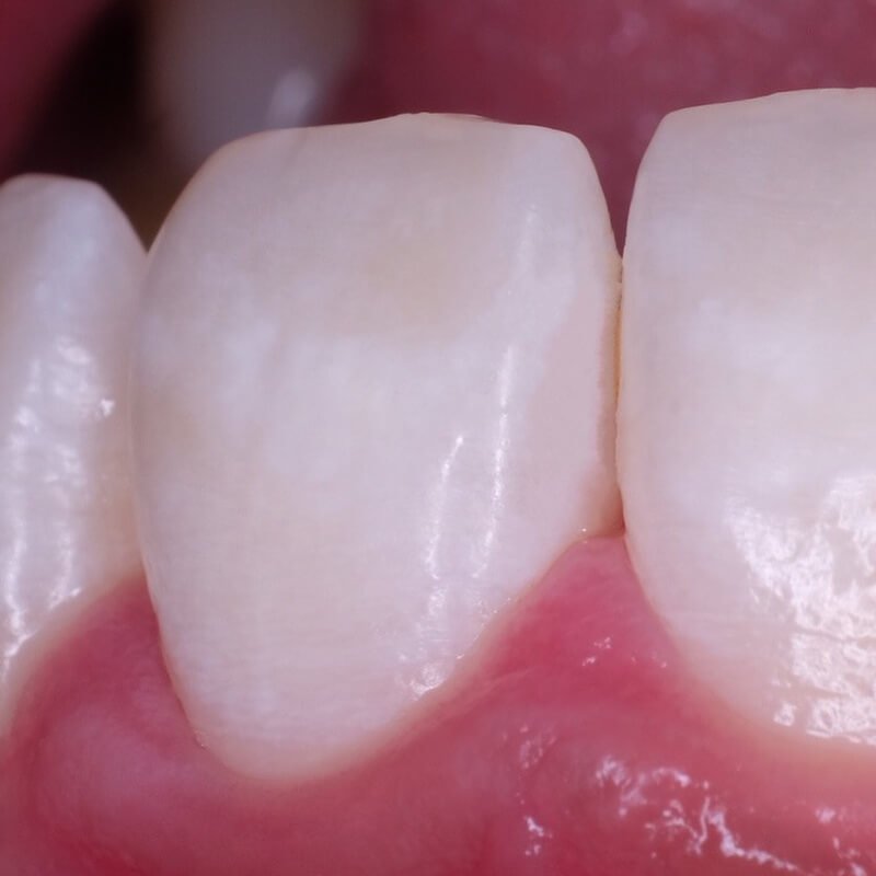
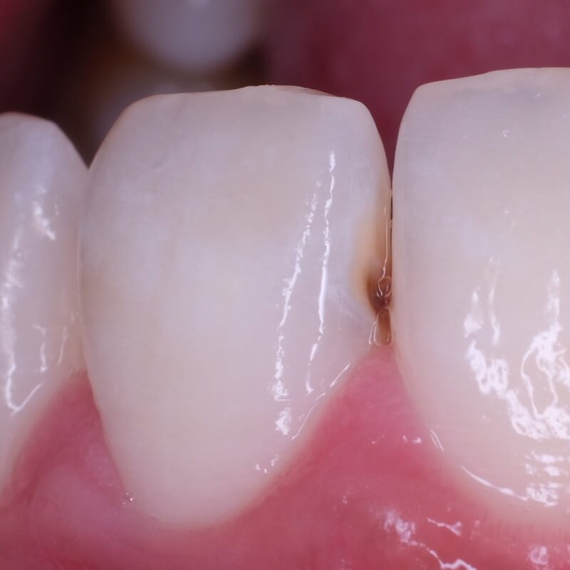
The plaque stage is an early stage in the appearance of caries. A white or pigmented spot appears on the tooth enamel. In this place, the content of calcium, fluorine, phosphorus and other microelements decreases in the enamel. The enamel loses its monotony and shine, and then softens.
Superficial caries – at this time, destructive processes occur only in the enamel.
Developed caries – in this case, the pathological process goes beyond the enamel-dentin border, although it is still far from the root.
Deep caries – when bacteria penetrate deep into the dentin of the tooth and a very thin layer of healthy tooth tissue remains.
If caries is not treated in time, caries can become complicated, manifested by pulpitis (inflammation of the nerve) and / or periodontitis (inflammation of the tissues around the root), which can eventually lead to tooth loss.
Natia Vardosanidze
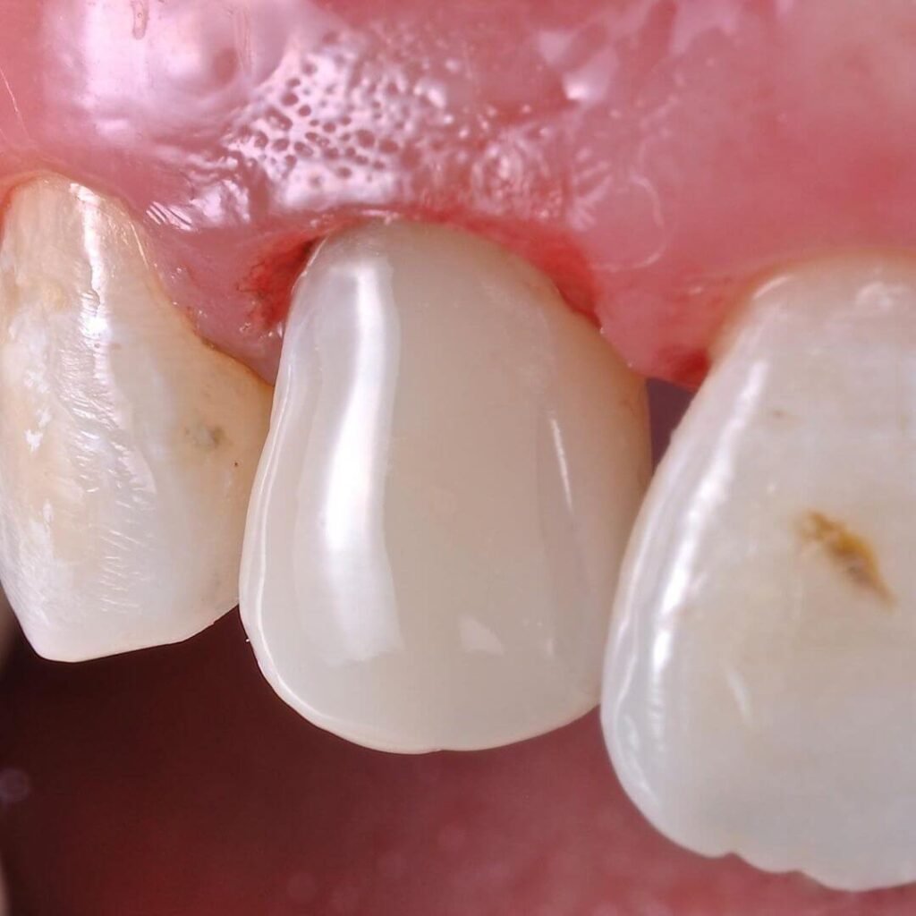
We will cure caries beautifully and comfortably

Preliminary local anesthesia

Superior composite material

Accurate reconstruction of the tooth shape

Aesthetics and naturalness
























