Dental implantation
Dental implantation is a reliable and long-lasting solution for replacing missing teeth and restoring both function and aesthetics. At our clinic, we offer a full range of implantology services tailored to each patient’s needs. Classical dental implantation involves the precise placement of titanium implants to support natural-looking prosthetics. For patients seeking faster results, we also provide immediate implantation, allowing for implant and crown placement in a shorter time frame. In cases of significant tooth loss, the All-on-4 technique offers a stable and efficient full-arch restoration using only four implants. We also specialize in dental prosthetics on implants, ensuring a comfortable fit, optimal bite, and a beautiful smile. For patients with insufficient bone structure, procedures like sinus lift and bone grafting are available to create a strong foundation for successful implantation. With advanced techniques and experienced care, we’re here to restore your smile with confidence and precision.
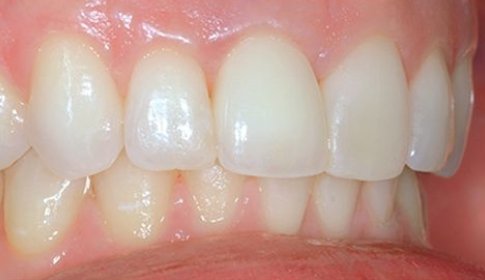
You walk out of the clinic with a tooth
Loss of a tooth in the visible area affects the perception of us by the people around us. Naturally, you want to correct the position and restore the tooth as soon as possible.
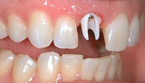
We can restore a lost tooth in one visit. This is done with a special series of implants with more active threads.
The implant is firmly fixed in the bone and allows immediate placement of a temporary crown. Thus, you will leave the clinic with the restored dentition.

Marika Kublashvili
One-step dental implantation
Before LabelAfter Label
Implantation and prosthetics immediately after tooth extraction
2. Installation of a temporary crown immediately after implantation


