Gum treatment
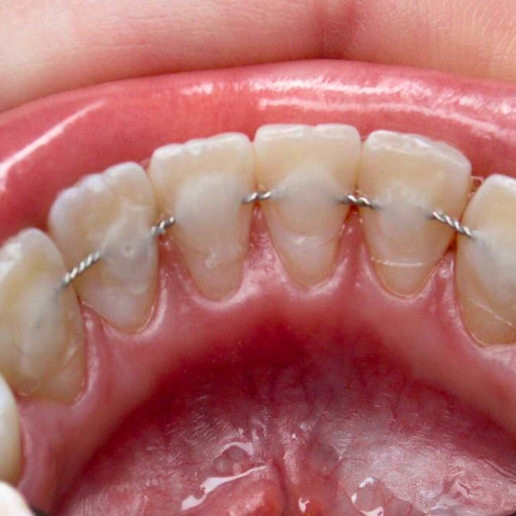
Здоровые десны необходимы для крепких зубов и красивой улыбки. В нашей клинике мы предлагаем передовые решения для лечения десен, чтобы решить различные проблемы с пародонтом. Используя инновационный аппарат Vector, мы предлагаем щадящее, эффективное лечение воспаления десен и заболеваний пародонта, воздействуя на бактерии под линией десен, сохраняя при этом здоровые ткани. Для пациентов с подвижными или ослабленными зубами мы проводим шинирование для стабилизации и поддержки зубов, предотвращая дальнейшее повреждение и улучшая функцию. Мы также предлагаем коррекцию контура десен для изменения формы неровных линий десен, улучшая как здоровье полости рта, так и внешний вид вашей улыбки. С акцентом на точность и комфорт наши процедуры для десен предназначены для восстановления и поддержания здоровья ваших десен и стабильности вашей улыбки.
Записаться на прием
Форма бронирования
Для дополнительных услуг
Напишите нам письмо
Наша команда оперативно ответит на ваши запросы.
Для получения дополнительной информации
Обратитесь за немедленной помощью
Адрес
Посетите MK Dental Center











