Treatment and prevention
At our clinic, we believe that prevention is the cornerstone of lifelong oral health. Through regular check-ups, professional oral hygiene, and personalized care, we help our patients maintain healthy teeth and gums while avoiding future complications. When treatment is needed, we offer comprehensive services – from the early management of caries and aesthetic dental restorations to advanced procedures like the treatment of pulpitis and periodontitis. For complex cases, we perform dental treatments under a microscope to ensure precision and long-lasting results. If tooth removal becomes necessary, we ensure it is done gently and safely, with a focus on your comfort and recovery. We also offer cosmetic enhancements such as teeth whitening to help you achieve a bright, confident smile. Whether you’re here for prevention, treatment, or aesthetic care, our goal is to restore and protect your smile with the highest standard of dentistry.
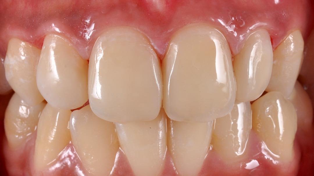
Beautifully and imperceptibly
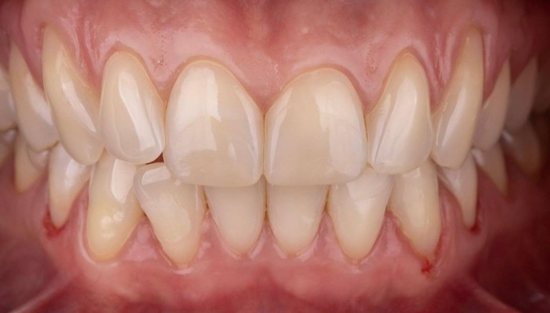
Restoration of teeth this is the restoration of the anatomical shape of the tooth, aimed at restoring its functional and aesthetic parameters. To create a charming smile, it is often necessary to improve the shape and color of the teeth. At the request of the patient, we can:
- Improve shape
- Change hue and color
- Replace old filling
- Fill gaps between teeth
- Treat carious and non-carious lesions of the teeth
- Repair a broken tooth
We carry out restoration according to modern standards, restore the aesthetics and function of the tooth with the maximum preservation of healthy tissues.
Natali Sakhelashvili
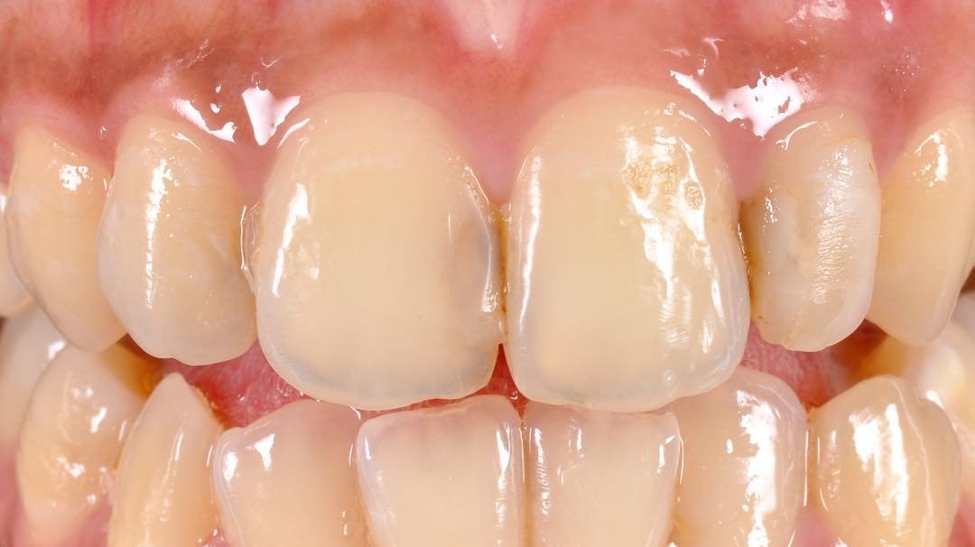
Aesthetic restoration of anterior teeth

We determine the future shape of the front teeth

Superior composite material

Accurately recreate the shape of the teeth using the silicone model













