Dental prosthetics
Dental prosthetics are essential for restoring the natural function, appearance, and comfort of your teeth. At our clinic, we offer a wide range of modern prosthetic solutions, designed to meet each patient’s individual needs and preferences. Using advanced materials and technologies, we ensure durable, aesthetic, and custom-made restorations for every case. For damaged or weakened teeth, we provide ceramic, zirconia, and metal-ceramic crowns—each selected based on strength, longevity, and visual harmony with your natural teeth. Our ceramic veneers offer a beautiful, minimally invasive way to improve the color, shape, and alignment of your front teeth, delivering a bright, confident smile. We specialize in dental prosthetics on implants, offering both single-tooth solutions and full-arch restorations. One of the most effective methods we use is the All-on-4 system, which allows us to restore an entire row of teeth using only four strategically placed implants—ensuring stability, function, and aesthetics even in cases of total tooth loss. For patients who are missing all their teeth or are not candidates for implants, we also provide removable dentures and prosthetics in the absence of teeth, crafted for comfort, functionality, and a natural appearance. Our goal is to restore not only your smile, but also your ability to chew, speak, and enjoy life with confidence.
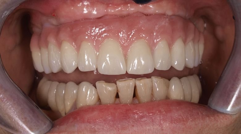
New beautiful teeth
Complete or large loss of teeth negatively affects both the general condition of the body and the configuration of the face. Diction changes, mimic wrinkles become more pronounced. Manifested by violations of the gastrointestinal tract and metabolism.
All-on-4, All-on-6 Implantation, this is a method of treating toothlessness in which 4 or 6 implants are fixed.
With this method, the implants are inserted according to a certain scheme, which allows you to fix a temporary structure 1-3 days after the installation of the implants.
Advantages of the All-on-4, All-on-6 design:
This is an opportunity to restore the entire dentition with a minimum number of implants.
Allows you to avoid bone grafting operations in cases of significant bone deficiency.
It helps to get rid of the psychological and physiological discomfort of the patient associated with the absence of teeth.
Get maximum results at minimum cost.

Marika Kublashvili
We will carefully guide you through all stages of treatment

Diagnostics and preparation

Comprehensive diagnostics

Oral cavity sanitation

Implantation and prosthetics

Installation of implants

Installing a temporary jaw




