Gum treatment
Healthy gums are essential for strong teeth and a beautiful smile. At our clinic, we provide advanced gum treatment solutions to address a variety of periodontal issues. Using the innovative Vector apparatus, we offer gentle, effective treatment for gum inflammation and periodontal disease—targeting bacteria below the gum line while preserving healthy tissue. For patients with mobile or weakened teeth, we perform splinting to stabilize and support the teeth, preventing further damage and improving function. We also offer gingival contour correction to reshape uneven gum lines, enhancing both oral health and the appearance of your smile. With a focus on precision and comfort, our gum treatments are designed to restore and maintain the health of your gums and the stability of your smile.
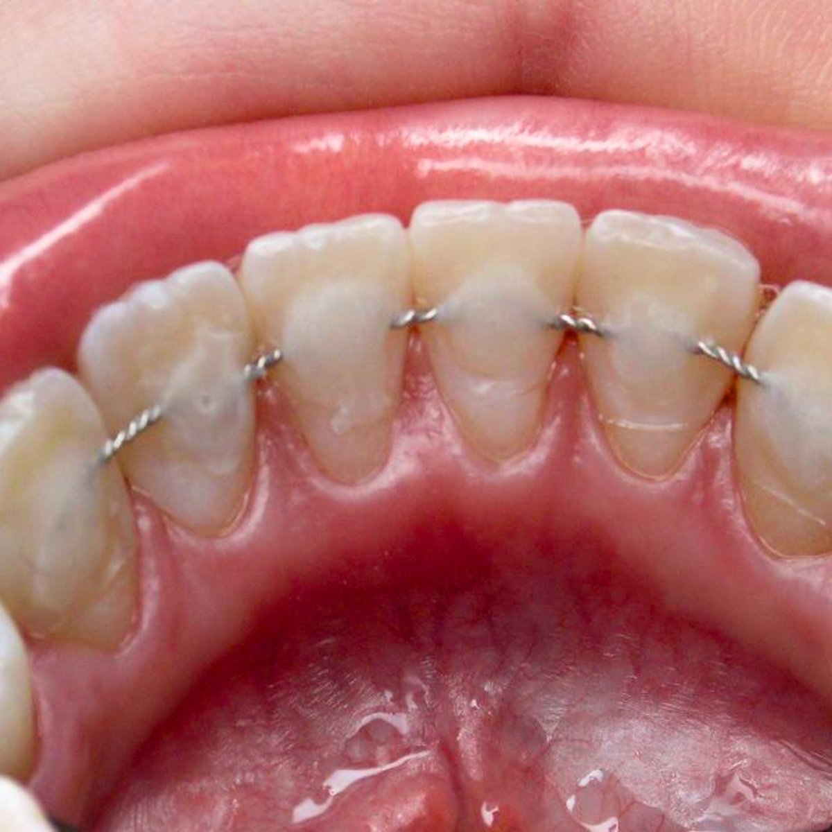
Dental stability
In some cases, splinting becomes an essential part of a much broader and more comprehensive periodontal treatment strategy. This approach may also include advanced procedures such as laser therapy to eliminate infection, curettage to remove diseased tissue, and bone regeneration techniques to rebuild lost bone structure. When we stabilize weakened teeth using a splint, we create a more favorable and stable environment that encourages healing. This support allows the surrounding tissues—especially the gums and bone—to regenerate and regain their strength. The success of splinting is significantly higher when inflammation has already been controlled and the oral environment is clean and healthy.
Additionally, splinting serves a valuable temporary function in more complex orthodontic or prosthetic treatment plans. For instance, when a patient is preparing to receive dental implants or bridges, stabilizing the current position of mobile or weakened teeth prevents undesired shifting or misalignment. This step is crucial in preserving the natural bite and spacing, which in turn contributes to the long-term success of the next phase of treatment. Whether used as a short-term solution or as part of a long-term periodontal rehabilitation plan, splinting offers both functional and esthetic benefits that help maintain oral health and prevent tooth loss.
Over time, a well-executed splinting procedure can enhance the durability of the remaining teeth, reduce sensitivity, and improve chewing comfort. It also gives patients more confidence in their smile, knowing their teeth are protected and secure. As part of our holistic approach, we carefully assess when and how to implement splinting to ensure the best results tailored to each individual’s needs.
Patient cooperation is equally important. Regular follow-up visits, proper oral hygiene, and professional cleanings play a vital role in the long-term effectiveness of splinting. We provide patients with detailed care instructions and support throughout the entire healing process. With consistent care and professional oversight, splinting can significantly extend the life of compromised teeth and help patients enjoy improved comfort, stability, and aesthetics for many years.
Natali Sakhelashvili

preliminary local anesthesia

securely tie several teeth with tape

mobility is eliminated, inflammation disappears

gum is restored

